Стадии развития и клинические проявления остеохондропатии
загрузка…
Болезнь развивается постепенно, в течение 2-3 лет, проходя следующие 3 фазы:
- Первая стадия — начальная, когда происходит омертвение (некроз) участка кости вследствие нарушения кровообращения. Проявляется болями ноющего характера в костях, суставах или позвоночнике (в зависимости от локализации), повышенной утомляемостью, нарушением движений.
- Вторая стадия — разрушение, фрагментация кости (разделение на фрагменты). Характерно усиление болей, деформация кости, появление патологических переломов (без видимой травмы). Функция нарушена значительно.
- Третья стадия — восстановление кости. Разрушенная кость постепенно восстанавливается, дефекты восполняются костной тканью, но развиваются склеротические явления, артроз близлежащих суставов. Болевой синдром уменьшается, но может остаться деформация и ограничение функции.
Фазы развития остеохондропатии: а — нарушение кровообращения, б — развитие некроза, в — образование фрагментов кости, г, д — восстановление, заживление кости
Особенности заболевания
Болезнь Пертеса не такая уж редкость. На её долю приходится 18% от всех суставных патологий. Стоит отметить, что недуг также встречается у собак мелких пород.
Причины возникновения
Истинные причины развития болезни до сих пор неизвестны. Но учёные выдвигают несколько предположений появления патологии. Так, основным определяющим фактором выступает миелодисплазия — недоразвитие в спинном мозге. Проходимость и количество кровеносных сосудов, обеспечивающих головку бедренной кости кровью, недостаточное.
Другие факторы, которые могут привести к началу болезни:
Травмы тазобедренных суставов;
- Повышенные физические нагрузки;
- Анатомические особенности структуры тазобедренного аппарата;
- Нарушение обменных процессов (усвоение фосфора, кальция);
- Гормональные изменения в организме (переходный возраст);
- Инфекционное поражение суставов (например, после перенесённого синусита, ангины, отита).
Обычно начальные признаки появления недуга родители замечают через некоторое время после перенесённой простуды или травмы ребёнком. Именно это становится решающим фактором возникновения заболевания у детей с нарушенным кровообращением в области тазобедренного сустава. Стоит отметить, что наследственность также играет определённую роль в развитии болезни Пертеса, но далеко не главную.
Врачи и учёные заметили, что болеют в основном мальчики (особенно недоношенные или рождённые с малой массой тела). В свою очередь, у девочек патология протекает в более тяжёлой форме. Чаще болезнь обнаруживается в возрасте 3−5 лет, реже — 13−15 лет.
Стадии и симптомы
В течение болезни Пертеса выделяют 5 следующих друг за другом стадий:
Остеонекроз. Именно в этот период начинает развиваться прекращение снабжение кровью головки бедренной кости и появляться очаговый некроз. Поражается до 10% всей костной массы головки бедра. Как правило, синдром Пертеса у детей протекает без симптомов. Очень редко появляются слабые нарушения в походке ребёнка и несильные боли в области бедра.
- Импрессионный перелом головки бедра. Под воздействием обычных нагрузок со временем разрушается область костной ткани, развивается перелом и образуется деформация бедренной головки кости. Площадь изменений может достигать 10−30%. Появляется болевой синдром и дискомфорт в области колена и бедра при движении, ребёнок при ходьбе прихрамывает.
- Фрагментация. Часть изменённой кости начинает распадаться на части. Площадь повреждения увеличивается до 30−50%. При этом боль сильно выражена и не проходит даже в спокойном состоянии. Нарушается двигательная активность в бедре, опухают мягкие ткани. Изменяется походка, хромота ярко выражена. У некоторых больных повышается температура, появляются симптомы интоксикации.
- Репарация. Над разрушительными изменениями постепенно преобладают восстановительные и регенерирующие процессы. Между некоторыми частями костной ткани начинает образовываться соединительная ткань, формируется новая костная ткань и кровеносные сосуды. Структура новой кости почти обычная, но её механическая прочность очень слабая. На этой стадии также начинает расти головка бедра. При отсутствии лечения это может стать причиной последующих изменений, так как головка способна перерасти в неправильную сферическую форму.
- Исход. На стадии исхода развиваются последствия заболевания (если они присутствуют). Возможно, и окончательное выздоровление без остаточных явлений. В этот период очень важна целостность хрящевой части роста. В случае некроза эта часть способна частично или полностью разрушаться. В итоге изменяется походка и нарушается опорная функция конечностей.
Если деформация головки бедра формируется на четвёртой стадии, то в этом случае развивается артроз тазобедренного сустава.
Основные причины остеохондропатии
Согласно статистическим данным, остеохондропатии составляют примерно 2,5 – 3% от общего числа выявленных костно-суставных патологий. Однозначных причин развития остеохондропатии медицинской наукой на данный момент не определено, поскольку это заболевание костей отличается большим многообразием форм. Но большинство специалистов сходятся во мнении, что причиной недуга является нарушение нормального кровоснабжения различных участков скелетного аппарата.

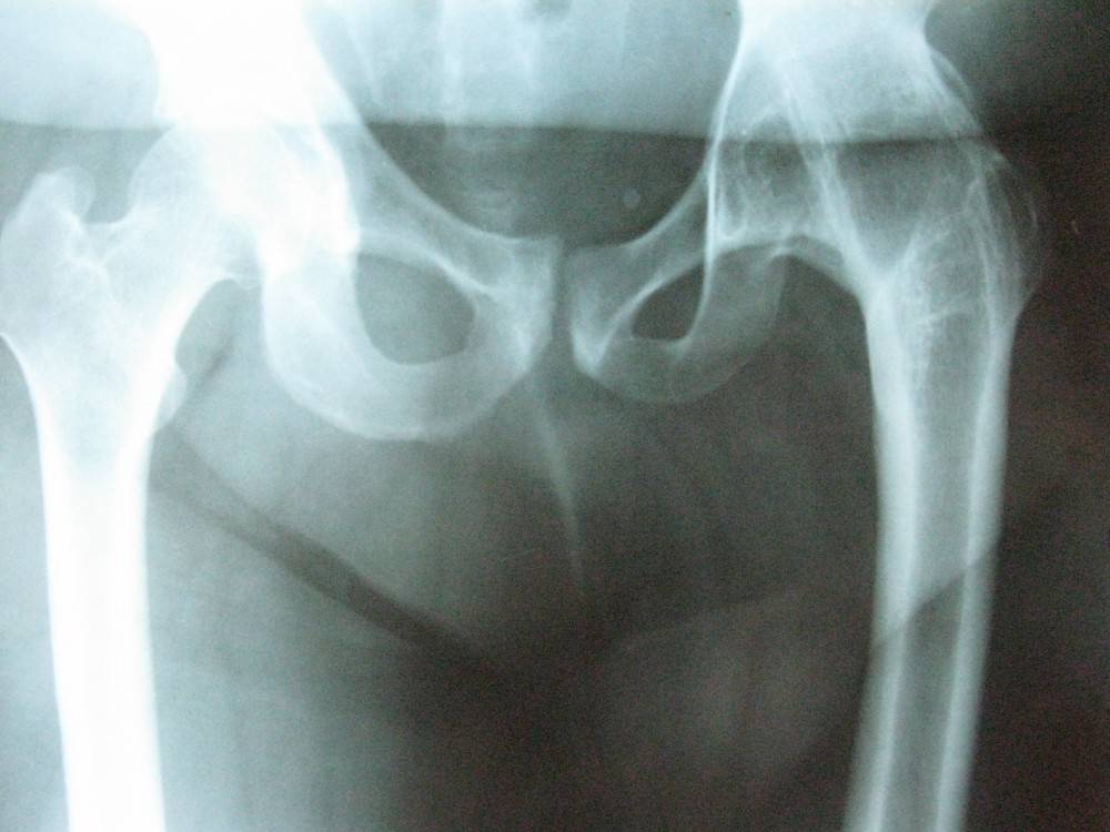
Остеохондропатия – внешние и рентгеновские проявления
Нехватка поступающих с кровью стимуляторов регенерации вызывает сбой в ходе восстановительных процессов. Костная ткань нижних конечностей в местах дефицита питательных веществ становится хрупкой, легко поддается травмированию и деформации, в местах наибольшей нагрузки на сустав развиваются остеофиты – костные наросты. Одновременно с губчатым веществом, из которого состоит головка сустава, разрушается и окружающая его хрящевая оболочка. В итоге процесс приводит к некрозу – постепенному отмиранию костно-хрящевых клеток.
Спровоцировать местное нарушение кровообращения, ведущее к развитию остеохондропатиии, способны следующие факторы:
- Травмы конечности. При восстановлении (сращивании) после травмирования костной и хрящевой ткани может произойти частичное защемление кровеносного сосуда, приводящее к ограничению идущего по нему кровотока;
- Гормональный дисбаланс, возникающий во время перестройки систем организма в пубертатный (подростковый) период;
- Бурный рост, приводящий к дефициту в организме солей фосфора, кальция, и других микроэлементов, необходимых для укрепления костей;
- Отставание развития системы кровоснабжения от роста скелета в подростковом возрасте;
- Чрезмерная нагрузка на костный аппарат в детском и подростковом возрасте – занятия спортом или хореографией;
- Гиподинамия – нередкое явление среди современных подростков, увлеченных компьютерными играми и соцсетями, приводящее к застою кровотока;
- Дефицит в рационе питания белка, необходимого для укрепления структуры мышц и костно-хрящевой ткани;
- Нехватка витаминов;
- Лишний вес, который не только увеличивает хроническую нагрузку на суставы, но и лишает их значительного объема крови из-за необходимости снабжения ею жировой ткани;
- Врожденные аномалии развития костно-суставного аппарата, такие как дисплазия – недоразвитость сустава;
- Инфекции различной этиологии;
- Эндокринные патологии
- Наследственная предрасположенность. Если один из родителей когда-либо страдал осеохондропатией, вероятность развития ее у ребенка значительно повышается.

Причины нарушения местного кровообращения
Остеохондропатии выделены в отдельную группу в МКБ-10 (десятом варианте Международной классификации болезней). Код отсеохондропатии по МКБ 10 зависит от локализации патологии:
- Остеохондропатия бугристости большеберцовой кости – М92.0;
- Остеохондропатия коленного сустава – М92.5;
- Остеохондропатия коленной чашечки – М92.4;
- Остеохондропатия таза и остеохондропатия лонно-седалищного сочленения, а также остеохондропатия головки бедренной кости и тазобедренного сустава – М91.
Патологии остальных частей костного аппарата нижних конечностей – остеохондропатия голеностопного сустава, остеохондропатии стопы, включающие остеохондропатию ладьевидной кости стопы, остеохондропатию таранной кости, остеохондропатию пяточной кости и 1 2 плюсневых костей стопы, – относятся к подгруппе, названной «Другие остеохондропатии». Она имеет общий код М93.
Этиопатогенез
До настоящего времени единое мнение о происхождении развитии болезни отсутствует. Имеется предположение, что прекращение или значительное уменьшение кровоснабжения обусловлено чрезмерным скоплением синовиальной жидкости в полости сустава.
Заболевание развивается при имеющихся у ребенка предрасполагающих (врожденных) и пусковых (приобретенных) факторов. Предрасполагающим фактором может являться врожденное недоразвитие различной степени выраженности поясничного отдела позвоночника, что сопровождается нарушением иннервации тазобедренного сустава и, как следствие, нарушением его кровообращения.
К приобретенным факторам относится прекращение кровоснабжения головки бедренной кости при воспалении или при незначительной травме тазобедренного сустава, что приводит к сдавлению немногочисленных и функционально несостоятельных сосудов. Воспаление сустава (преходящий синовит) возникает при гематогенном распространении инфекции из очагов инфекции, локализованных в других анатомических областях: к примеру, из ротоглотки при простудных заболеваниях.
При несущественной травматизации тазобедренного сустава, на которую зачастую не обращают внимание родители и ребенок, может возникнуть прекращение кровообращения и асептический некроз тканей головки бедренной кости. Имеется предположение, что и другие факторы могут оказывать определенное влияние при возникновении болезни Пертеса
Например, было замечено, что у родившихся мальчиков весом до 2,25 кг заболевание регистрируется в 5 раз чаще – в сравнении с новорожденными, вес которых превышал 3,6 кг. Помимо того, имеется семейная предрасположенность к болезни Пертеса
Имеется предположение, что и другие факторы могут оказывать определенное влияние при возникновении болезни Пертеса. Например, было замечено, что у родившихся мальчиков весом до 2,25 кг заболевание регистрируется в 5 раз чаще – в сравнении с новорожденными, вес которых превышал 3,6 кг. Помимо того, имеется семейная предрасположенность к болезни Пертеса.
Ткань верхней полусферы головки беда, в которой развился асептический некроз, теряет устойчивость к механической нагрузке, из-за чего даже при обычной повседневной нагрузке (ходьба, бег, прыжки) возникает ее постепенная деформация. Выраженность деформации напрямую зависит от размеров и локализации очага асептического некроза в эпифизе и может быть от практически не диагностируемой деформации на рентгенограмме до грубой «грибоподобной» или «седловидной» формы.
Основные причины развития у детей и взрослых
Болезнь Легга Кальве Пертеса относится к остеохондропатиям, при которых нарушается кровоснабжение и питание бедренной головки, вследствие чего ее ткани отмирают и разрушаются. Заболевание зачастую начинает себя проявлять в детском либо юношеском возрасте, при этом наиболее часто страдают мальчики, у девочек синдром встречается реже. Если лечение проблемы было неадекватным либо симптомы игнорировались, в будущем головка тазобедренного сустава деформируется, развивается коксартроз.
Точные причины, по которым начинает развиваться болезнь Пертеса у взрослых и детей, до сих пор неизвестны, но установлено, что проблема начинает прогрессировать при влиянии следующих факторов:
- чрезмерные физические нагрузки на нижнюю часть туловища;
- травмирование нижних конечностей;
- иммунные нарушения;
- гормональные перестройки;
- дегенеративно-воспалительные заболевания суставных структур;
- нарушение витаминно-минерального обмена;
- транзиторная воспалительная инфекция.
Дети, родившиеся с врожденным недоразвитием поясничного отдела спинного мозга, входят в группу риска приобрести недуг в дальнейшем. А также проблема может возникнуть у подростков, перенесших:
- рахит;
- вирусно-инфекционные болезни;
- аллергические недуги.
Стадии патологии

Последняя стадия болезни – сращение костей сочленения.
Остеохондропатия головки бедренной кости на начальном этапе может протекать бессимптомно. Но по мере прогрессирования патологии признаки становятся выраженней. Различают следующие степени:
- Начальная или скрытая. Выраженные признаки отсутствуют, но костные структуры уже подвержены минимальным некротическим изменениям, в частности, начинает отмирать губчатое вещество.
- Импрессионный перелом. Из-за повреждений и истончений кость ломается, функциональные возможности бедра нарушены, конечность укорачивается.
- Рассасывание. Эта стадия характеризуется выраженным болевым синдромом, костные ткани бедренного сустава подвержены дистрофическим изменениям, сама головка бедра становится плоской и укороченной.
- Восстановление. На этом этапе прогрессирования боли притупляются, но последствия болезни необратимы. Хрящи и костные ткани сочленения полностью разрушены, на их месте появляются соединительные ткани, из-за чего функциональность конечности полностью нарушается.
- Конечная. Боль на этой стадии отсутствует, но из-за окостенения соединительных структур и их сращивания, сустав становится полностью неподвижным.
Характерные симптомы
Болезнь Пертеса у детей и взрослых проявляется такими признаками:

При такой патологии человек испытывает боль в сочленении.
- Тупые боли в суставе, которые усиливаются во время ходьбы. Если болезнь прогрессирует, болеть начинает вся конечность.
- Атрофия мышц ягодицы и развитие хромоты.
- Ограничения в подвижности бедренного сустава.
- Образование воспаления и отечности.
- Повышение температурных показателей.
- Нарушение кровообращения по всей длине конечности.
- Сморщивание кожи в области ступни.
Краткий обзор болезни Пертеса у детей
Болезнь Пертеса (остеохондропатия головки бедренной кости, асептический некроз головки бедренной кости у детей, субхондральный некроз ядра окостенения головки бедренной кости) — патологическое состояние, относящееся к остеохондропатиям. Полное название нозологии — Легга-Кальве-Пертеса.
В основе болезни Легга-Кальве-Пертеса лежит неполноценность кровотока в мелких кровеносных сосудах. Как следствие, нарушается питание кости, возникают нарушения некротического характера и реорганизации кости. В итоге головка бедренной кости разрушается.
Абсолютное большинство больных болезнью Пертеса — мальчики 3 — 14 лет. Девочки страдают патологией в пять раз реже, но болезнь Пертеса у них протекает тяжелее. Как правило, поражается одно сочленение, но наблюдаются и двусторонние процессы. Основная причина, вызывающая асептический некроз головки бедренной кости у детей — хронические перегрузки и приобретенная или врожденная неполноценность опорно-двигательной системы, недавние острые инфекционные процессы и травмы, гормональный дисбаланс (переходный возраст или прием гормональных препаратов), генетическая склонность.
Течение болезни Петерса (остеохондропатии головки бедренной кости) разделяютт на пять стадий:
- I — жалобы на боль и утомляемость после ходьбы, заметно незначительное нарушение походки, наблюдаются микроскопические патологические изменения в костной ткани, а именно развивается субхондральное омертвение. Рентгенографические изменения затрагивают до 10% площади головки тазобедренного сустава. Начатое на данном этапе лечение позволяет полностью предотвратить дегенерацию тканей;
- II — появляются неприятные ощущения в тазобедренном суставе. Наблюдаются патологические переломы. От структурных изменений страдает до трети площади головки бедренной кости;
- III — длится 1,5 — 3 года, характеризуясь вялым течением. Внешние проявления болезни становятся более выраженными. Боль проявляется не только при ходьбе, но и в покое. Мышечные ткани на пораженной стороне атрофируются, амплитуда движений снижается, ребенок хромает. На снимках хорошо заметно, как головка бедренной кости буквально разваливается на фрагменты;
- IV — это восстановительная фаза болезни. В этот момент на омертвевших участках начинается нарастание костной ткани. Болевой синдром уменьшается, но амплитуда движений остается ограниченной. Скелетные мышцы пораженной конечности практически утрачивают способность к сокращению;
- V — характеризуется нарастанием костной ткани и восстановлением кости. При правильном и своевременно начатом лечении здоровье ребенка полностью восстанавливается.
Согласно Международной классификации болезней Х просмотра (МКБ 10), болезни Пертеса (субхондральному некрозу ядра окостенения головки бедренной кости) присвоен код М91.1.
Лечение тазобедренного сустава
Лечение заболеваний ТБС назначают исключительно после комплексного обследования, учитывая полученные результаты. При тазобедренных патологиях показаны не только медикаментозные препараты, но и народные средства (если отсутствуют медицинские противопоказания). Во время восстановления рекомендовано посещение физиотерапевтических процедур. В экстренном случае больному может быть назначена операция.
Медикаментозные средства
Подбор лекарственных препаратов осуществляется травматологом или ортопедом с учетом диагностированного заболевания, состояния пациента и индивидуальных особенностей его организма. Главное, соблюдать прописанную дозировку, так как медикаменты способны провоцировать развитие негативных реакций.
При проблемах с тазобедренным суставом в зависимости от симптомов показано лечение медикаментами таких фармакологических групп:
- Нестероидными противовоспалительными препаратами (Налгезином, Диклаком) для ослабления болезненных проявлений и воспалительного процесса. Лекарства в форме таблеток рекомендовано принимать по 2-4 штуки в течение 2 недель.
- Хондропротекторами (Хондроксидом, Структумом) для активизации восстановительных процессов в хрящевой ткани. Максимальная доза для взрослого человека – 0,5 г перорально дважды в день. Длительность курсовой терапии – полгода.
- Ангиопротекторами (Пентоксифиллином, Стугероном) для улучшения циркуляции крови в тазобедренном отделе. Рекомендованная дозировка для взрослого – 0,2 г трижды в день после приема пищи. Продолжительность курсового лечения тазобедренного сустава – от 1 до 3 месяцев.
- Стероидными препаратами (Дипроспаном, Дексаметазоном) для внутримышечного введения. Взрослому пациенту препарат вводят однократно в течение недели в дозировке 1-2 мл.
- Анальгетиками (Лидокаином, Новокаином) для подкожного либо внутримышечного введения. Взрослому лекарство вводят в дозировке 5-20 мг.
- Миорелаксантами (Мидокалмом, Баклосаном) для снятия мышечных спазмов, снижения давления, оказываемого на сосуды кровеносной системы. Лекарства следует принимать 2-3 раза в сутки по 50-150 мг.
- Сосудорасширяющими препаратами (Тренталом, Актовегином) для расширения сосудов, активизации трофика и кровообращения в тазобедренном суставе. Рекомендованная дозировка для взрослых пациентов – до 2-3 раз в день по 100-200 мг.
Если больного беспокоят сильные боли, показано проведение внутрисуставных уколов введением лекарственных средств, способных заменить синовиальную жидкость.
Средства нетрадиционной медицины
Комплексная терапия при тазобедренных патологиях подразумевает использование народных средств. Главное, чтобы отсутствовали серьёзные медицинские противопоказания. Прежде чем прибегнуть к помощи подобных методов, надо проконсультироваться с доктором.
В сочетании с медикаментозными препаратами можно воспользоваться такими народными средствами:
- Мазью. Для приготовления надо смешать в равном объёме жидкий мёд с глицеридом, йодом и 96% спиртом. Полученный состав поставить в тёмное место настаиваться на 12 часов. Готовым средством смазываем пораженную зону и оставляем, пока средство полностью впитается. По завершении процедуры делаем 2-часовой перерыв.
- Настойкой на грецком орехе. Надо высыпать в банку стакан перегородок, налить туда же 0,5 л водки, плотно закупорить и поставить в тёмное место на 21 день. Готовое средство процеживаем и употребляем по 1 чайной ложке дважды в день.
- Травяной сбор. Для него требуется взять по 2 столовые ложки корневища таких растений – лопух, ива, петрушка, а также листочки березы и липовый цвет. Растительную смесь заливаем кипятком (0,5 л), ставим на плиту, кипятим на минимальном огне в течение 10 минут. Затем остужаем и процеживаем. Готовое средство принимаем перорально трижды в день по 125 мл.
Какое назначается лечение?
Препараты при болезни Пертеса

При сохраненной двигательной функции сочленения назначается медикаментозная терапия.
Если синдром Пертеса невыраженный, а подвижность сустава и конечности сохранена, болезнь лечится консервативным путем. Учитывая возраст пациента и характер течения, врач подберет индивидуальную схему терапии
Чтобы медикаментозное лечение было успешным, важно максимально убрать нагрузку с тазобедренного сустава. Для этого используются фиксирующие повязки или конструкции, например, аппарат Томаса
Лечить болезнь Пертеса рекомендуется группами препаратов, которые принимаются перорально или вводятся инъекционно. Это такие средства:
- ангиопротекторы;
- хондропротекторы;
- витаминно-минеральные комплексы.
Физиотерапевтические методы
На второй стадии больному рекомендуется записаться на массаж и физиотерапию. Зачастую направляют на такие процедуры:
- электрофорез с препаратом Са;
- диатермия;
- УВЧ;
- магнитотерапия;
- озокерит;
- грязетерапия.
Восстановительные упражнения

При такой патологии больному полезны занятия плаванием.
Лечебная гимнастика разрешена, если отсутствуют переломы или хорошо срослись старые повреждения. Лечебная физкультура направлена на тренировку и укрепление мышечного корсета бедра. Кроме ЛФК, рекомендуется заниматься плаваньем, аквааэробикой, совершать велосипедные прогулки, кататься на лыжах по ровной дороге. Выполняемое упражнение не должно приносить боли и дискомфорта, поэтому чтобы избежать осложнений, тренировочный курс стоит согласовать с физиотерапевтом.
Хирургическое лечение и последствия
Операцию назначают в запущенных случаях, при возникновении прогрессирующей деформации и подвывихов сустава, когда больному грозит инвалидность. Зачастую проводится ротационная транспозиция вертлужной ямки сочленения по методу Солтера. Другим вариантом является корригирующая медиализирующая остеотомия
Чтобы болезнь Пертеса у детей и взрослых не рецидивировала, в послеоперационный период важно выполнять лечебные упражнения, посещать курсы массажа и физиопроцедур
Ортопедия
Если болезнь диагностирована у взрослого или ребенка, нужно сделать все, что поможет предотвратить прогрессирование
Немаловажно обратить внимание на обувь, которую приходится носить каждый день. Если она неудобная или на высоких каблуках, то лучше отказаться от нее. Взамен рекомендуется купить ортопедическую модель, которая во время ходьбы будет равномерно распределять нагрузки на суставы нижних конечностей
Если необходимо на время ограничить подвижность сочленения, врач порекомендует носить специальные фиксирующие ортопедические аппараты. В будущем с таким диагнозом противопоказаны тяжелые физические нагрузки, прыжки с высоты, бег и ношение тяжестей. Регулярные занятия физкультурой и профилактическое лечение не дадут патологии прогрессировать
Взамен рекомендуется купить ортопедическую модель, которая во время ходьбы будет равномерно распределять нагрузки на суставы нижних конечностей. Если необходимо на время ограничить подвижность сочленения, врач порекомендует носить специальные фиксирующие ортопедические аппараты. В будущем с таким диагнозом противопоказаны тяжелые физические нагрузки, прыжки с высоты, бег и ношение тяжестей. Регулярные занятия физкультурой и профилактическое лечение не дадут патологии прогрессировать.





































