Симптомы отслойки плодного яйца
Предугадать отслойку, к сожалению, не представляется возможным, но произойти подобное может с любой из беременных. Поэтому каждая из них должна быть крайне внимательной к себе и сразу же реагировать при появлении любых подозрительных признаков. На вероятное отторжение плода в первую очередь укажут , которые могут отдавать в поясницу как при месячных, сопровождающиеся кровянистыми выделениями. Следует незамедлительно ехать в больницу, если вы обнаружили следы крови на белье (при отслойке они имеют кофейный или сукровичный цвет). Коричневые выделения говорят о том, что гематома начинает уже рассасываться, но не исключен повторный надрыв, поэтому, если вы не желаете испытывать судьбу, то лучше обратиться за врачебной помощью. Обычно отслойку диагностирую на УЗИ.
К слову, бытует мнение, что на начальном этапе беременности происходит естественный отбор. И если плод является полноценным и самодостаточным, то он выживет без посторонней помощи. В процессе его борьбы за жизнь отслойка может повторяться по нескольку раз, но в конечном итоге плодное яйцо надежно закрепляется и начинает благополучно расти и развиваться.
В общем, не все женщины предпочитают ложиться на сохранение при отслойке плодного яйца на ранних сроках. Однако врачи настаивают: риски прерывания беременности из-за начавшегося отторжения плода без лечения невероятно высоки.
Вопросы к врачу при подозрении на остатки плодного яйца в матке
Остатки плодного яйца в матке могут вызвать серьезные осложнения, такие как воспалительные заболевания и кровотечение. Если у вас есть подозрения на подобное, обращайтесь к гинекологу и задавайте следующие вопросы:
- Что могло стать причиной остатков плодного яйца?
- Какие анализы мне необходимо пройти?
- Какой вид обследования мне нужен?
- Какие симптомы могут свидетельствовать о наличии остатков?
- Каковы риски осложнений и как их можно избежать?
- Как происходит лечение остатков плодного яйца?
- Какие препараты могут быть назначены?
- Каков прогноз для моего здоровья после лечения?
- Как предотвратить повторение остатков плодного яйца?
Не стесняйтесь задавать вопросы врачу. Это поможет вам понять свое состояние и принять необходимые меры для сохранения здоровья.
Причины остатков плодного яйца в матке
Остатки плодного яйца в матке могут возникнуть в результате различных причин. Одной из таких причин является неполное выкидыша. В этом случае, плодное яйцо может оставаться в матке, несмотря на то, что прерывание беременности уже произошло.
Другой причиной остатков плодного яйца в матке может быть нарушения работы гормональной системы организма. Например, недостаток прогестерона может привести к прерыванию беременности и оставлению остатков яйца в матке.
Наконец, наличие остатков плодного яйца может быть вызвано неправильным использованием контрацептивных препаратов. Эти препараты создают условия, при которых имплантация оплодотворенной яйцеклетки в матку затруднена, что может привести к развитию остатков яйца после прерывания беременности.
В любом случае, если врач подозревает наличие остатков плодного яйца в матке, необходимо обратиться к специалисту для проведения необходимого обследования и назначения соответствующего лечения.
Профилактика внематочной беременности
Снизить риск внематочной беременности можно с помощью профилактики воспалительных заболеваний органов малого таза.
Воспалительные заболевания половых органов считаются основной причиной внематочной беременности, так как инфекция может нарушать функцию маточных труб.
Обычно воспалительные заболевания связаны с половыми инфекциями, например, хламидиозом или гонореей, которые сначала поражают влагалище, а затем распространяются на расположенные выше репродуктивные органы.
Наиболее эффективный метод профилактики венерических болезней — использование мужского презерватива. Также необходимо регулярно проходить обследование в следующих случаях:
- появление нового полового партнера;
- незащищенный половой акт;
- половой акт с человеком, у которого может быть венерическая инфекция;
- появление симптомов половых инфекций.
При подозрении на половую инфекцию можно обратиться за медицинской помощью к гинекологу или венерологу. С помощью нашего сервиса вы можете найти этих специалистов, перейдя по ссылкам.
Почему происходит отслойка плаценты?
На данный момент выделяют целый ряд причин преждевременной отслойки плаценты при беременности или в родах:
- Высокое артериальное давление (гипертония) у матери считается одним из самых значимых факторов.
- К отслойке плаценты могут приводить внезапные колебания артериального давления, возникающие при нервно-психических воздействиях или стрессах. Кроме того, артериальное давление может меняться при сдавлении нижней полой вены беременной маткой. Это состояние может возникнуть при длительном нахождении в положении лежа на спине.
- Риск возникновения отслойки плаценты увеличивается, если такая же патология наблюдалась во время предыдущих беременностей.
- Частые или многоплодные роды – преждевременная отслойка плаценты достоверно чаще наблюдается у многажды рожавших женщин. Это связывается с дегенеративными изменениями в слизистых оболочках матки.
- Одним из предрасполагающих факторов отслойки плаценты считается переношенная беременность.
- Возраст беременной – с его увеличением растет и риск возникновения отслойки плаценты. Кроме того, у женщин в возрасте более 34 лет нередко наблюдается образование дополнительной дольки плаценты. Во время родов эта дополнительная долька нередко отрывается, что может повлечь за собой развитие отслойки всей плаценты.
- Шанс возникновения отслойки плаценты увеличивается, если в прошлом у беременной уже было рождение как минимум одного ребенка с помощью кесарева сечения.
- Риск отслойки плаценты возрастает, если зачатию предшествовал период бесплодия.
- Преэклампсия, гестозы и токсикозы, особенно в первом триместре беременности, являются одним из немаловажных факторов. Объясняется это тем, что гестоз проявляется повышением артериального давления, отеками, и появлением белка в моче. Кроме того, при гестозах, особенно при их тяжелых формах, в первую очередь страдают именно сосуды: они становятся ломкими и хрупкими.
- К отслойке плаценты могут приводить аномалии строения матки (двурогая или седловидная матка). Кроме того, важным фактором являются и аномалии сосудов, расположенных в глубине мышечного слоя матки, изменения сосудистых стенок, повышение их проницаемости, увеличение хрупкости и ломкости капилляров, вызванное потерей их эластичности, а также нарушения их проходимости для крови.
- Аномалии расположения и созревания непосредственно самой плаценты в процессе беременности также могут приводить к ее отторжению.
- Возможной причиной отслойки плаценты могут быть нарушения свертывающей системы крови, зачастую сопровождающие различные патологии беременности.
- Отслойку плаценты также могут вызывать патологии родовой деятельности. Например, быстрое падение давления в матке. Чаще это происходит при многоводии в момент вскрытия родового пузыря, и быстрого излития вод. Иногда это может быть вызвано рождением первого плода при многоплодии. Также данная патология может возникнуть при быстрых родах. Если пуповина короче обычного, или плодный пузырь вскрылся с опозданием, плацента тянется вниз неразорвавшимися плодными оболочками или короткой пуповиной, что и приводит к ее отслойке.
- К острому состоянию и возникновению отслойки плаценты может приводить тупая наружная травма живота, например, удар, падение на живот или же автодорожная авария.
- В развитии этой патологии принимают участие такие факторы, как табакокурение, употребление большого количества алкогольных напитков, а также кокаина. Ситуация еще более осложняется при развитии анемических состояний: малокровия, снижения числа эритроцитов, снижения гемоглобина.
- Отслойка плаценты может стать следствием аллергической реакции на медикаментозную терапию, на переливание белковых препаратов или компонентов крови. Изредка встречается аутоиммунная форма отслойки. При этом организм женщины вырабатывает антитела к собственным тканям, и отторгает их. Происходит это чаще при обширных системных заболеваниях, таких как ревматизм или системная красная волчанка.
- К отслойке плаценты может приводить сахарный диабет и иные наследственные и хронические заболевания, инфекционные воспаления (к примеру, пиелонефрит), опухолевые процессы, ожирение, заболевания щитовидной железы, патологии крови и кроветворной системы и т.д. Объясняется это тем, что течение всех этих заболеваний может изрядно осложняться и утяжеляться во время беременности, которая сама по себе является серьезным испытанием для женского организма.
Отслойка плаценты: диагностика
Опытный специалист определит преждевременную отслойку плаценты по клиническим проявлениям. Врач внимательно выслушает жалобы пациентки, изучит результаты ранее проведенных диагностических процедур и проведет измерение частоты сердечных сокращений плода.
Для подтверждения или опровержения предварительно поставленного диагноза проводится ультразвуковое исследование. По результатам данной процедуры определяется площадь и предлежание плаценты, объем и расположение гематомы, наличие кровяных сгустков.
На основе полученной информации специалист может распознать отслойку плаценты и отличить ее от других патологий в половых органах женщины, которые также могут вызвать маточное кровотечение и другие симптомы.
Диагностика беременности
В современной медицине есть два основных метода для диагностики беременности на ранних этапах. После первых дней задержки менструации, анализ на уровень ХГЧ (хорионический гонадотропин человека) помогает установить наличие или отсутствие беременности.
ХГЧ — это гормон, начинающий вырабатываться сразу после имплантации плодного яйца стенке матки. Для диагностики можно использовать как простой тест на беременность, так и лабораторный анализ. Последний метод помогает не просто получить результат о наличии или отсутствии беременности, но и установить точный срок.
Также весьма распространенный способ диагностики — это ультразвуковое исследование. УЗИ помогает собрать необходимую информацию о нюансах протекания беременности: развитии эмбриона, сроке, возможных патологиях и отклонениях и т.д. Также мониторинг дает представление о размерах плодного яйца. Многочисленные исследования позволили установить то, какой диаметр характерен для каждого триместра беременности.
Однако часто на первых неделях встречаются ошибки при установлении срока и величины плодного яйца. Например, если плодное яйцо 3 мм, срок установить очень сложно.
Увидеть плодное яйцо на мониторе УЗИ-аппарата можно не раньше, чем спустя неделю после задержки. В этот период оно занимает уже ¼ всего пространства матки и хорошо визуализируется. Что касается эмбриона, то на таком раннем сроке его еще не видно.
Из-за неточности определения размеров на ультразвуковом исследовании, многие специалисты советуют проводить тест на ХГЧ. Стоит учесть, что по окончанию первого триместра колебания в росте гормона меняются, а исследование становится менее информативным.
С каждой последующей неделей, плод становится все более крупным. Таким образом, УЗИ-мониторинг приобретает большую эффективность и позволяет следить за процессом более детально. Уже через 20 дней плодное яйцо занимает 1/3 полости матки. На 10-й неделе у плода можно рассмотреть руки, ноги, головку и туловище.
Профилактика
Чтобы предотвратить отслойку плодного яйца в первые недели беременности, нужно тщательно подойти к вопросу планирования зачатия. Это ответственный шаг и перед тем как на него решиться, следует посетить специалистов и проверить свое здоровье на предмет возможных патологий. Именно не выявленные и не пролеченные вовремя заболевания могут стать причиной самопроизвольного аборта на раннем сроке.
Врачи признают, что в современном мире угроза прерывания беременности является отнюдь не редкостью. Это обусловлено ухудшением экологических условий проживания, нарушением ритма жизни, учащающимися хроническими заболеваниями. К счастью, медицина смогла добиться серьезного прогресса в диагностике и лечении отслойки плодного яйца, что позволяет сохранять большее число беременностей.
Диагностика
Преждевременную отслойку плаценты диагностируют опираясь на клинические признаки и жалобам пациентки. Во время гинекологического осмотра врач может обнаружить наличие гипертонуса матки, локальную или разлитую болезненность, асимметрию.
Чтобы подтвердить или опровергнуть предварительный диагноз проводят следующие исследования:
- УЗИ для изучения плаценты и места ее отслойки.
- Допплерографию маточно-плацентарного кровообращения, чтобы определить скорость движения крови по сосудам матки, пуповины, магистрального кровотока плода.
- Кардиотокографию для определения гипоксии плода.
После постановки окончательного диагноза, врачи назначают необходимое лечение.
Симптомы анэмбрионии
Сама остановка роста эмбриона не имеет своих специфических признаков. На ранних стадиях такой аномальной беременности состояние женщины соответствует медицинской норме. Более того, растущий уровень ХГЧ в анализах крови показывает, что зачатие прошло успешно и эмбрион нормально развивается. Первым симптомом нарушения является как раз остановка этого роста и снижение концентрации хорионического гонадотропина в организме. На организме самой матери патологический процесс отражается в тот момент, когда начинается разложение эмбриона. Распад его тканей сопровождается характерными признаками септического отравления:
- повышением температуры тела;
- тошнотой и рвотой;
- болью в мышцах и постоянной слабостью;
- болью в нижней части живота;
- маточными кровотечениями или выделениями с примесью крови.
Иногда разложение эмбриона проходит бессимптомно или с признаками легкого недомогания. При этом пустые околоплодные оболочки сами отторгаются от эндометрия и выходят естественным путем. Однако, в большинстве случаев оно остается в материнском организме и вызывает тяжелые последствия, угрожающие здоровью и даже жизни женщины.
Профилактические мероприятия для предупреждения патологии
Профилактику патологии необходимо начинать еще на этапе планирования беременности. Уменьшить риск отторжения плодного яйца можно, если не менее чем за 3 месяца до наступления беременности исключить вредные привычки, начать прием фолиевой кислоты, произвести плановую вакцинацию. Необходимо обследоваться на наличие воспалительных заболеваний и половых инфекций. Обнаруженные патологии следует полностью вылечить.
Риск отслоения плодного яйца при беременности на ранних сроках можно снизить, если:
- исключить курение, употребление алкоголя и наркотических веществ;
- при подозрении на беременность как можно быстрее обратиться к гинекологу и встать на учет;
- не допускать резкой смены обстановки, климата, часового пояса;
- любые медикаменты должны приниматься только по назначению врача;
- снизить физические нагрузки, исключить травмоопасные виды спорта;
- высыпаться, много гулять;
- следовать принципам здорового питания, не употреблять фаст-фуд, продукты с вредными добавками, отказаться от диет для похудения;
- оставаться физически активной – гулять, плавать, заниматься йогой, специальной гимнастикой для беременных.
Беременность на ранних сроках больше всего подвержена риску. Большинство выкидышей происходит именно на первых неделях беременности. Поэтому новоиспеченным будущим мамам следует себя беречь уже с первых дней.
Причиной самопроизвольного аборта на раннем сроке беременности может стать отслойка плодного яйца. Вернее, она является его первой стадией. Плодное яйцо начинает отторгаться от хориона, здесь образуется ранка вследствие повреждения сосудов, за плодной оболочкой скапливается кровь, образуя гематому, из-за чего это явление в акушерстве называется еще . Это кровяное образование может увеличиваться и еще больше способствовать отслойке плодного яйца. В конечном счете, происходит его полное отторжение и гибель.
Если не предпринять никаких мер, то почти что наверняка, что беременность прервется. Однако своевременное лечение в большинстве случаев может остановить процесс.
Диагностика излития околоплодных вод и прогноз жизнеспособности плода
Один из методов диагностики излития околоплодных вод — цитологическое исследование влагалищного секрета. В свежий мазок добавляют каплю 1% р-ра эозина. Далее препарат рассматривают под микроскопом: эпителиальные клетки влагалища, эритроциты и лейкоциты будут ярко окрашены, а клетки плода, содержащиеся в отошедших водах — бесцветны.
Задача гинекологов при сохранении беременности, осложнённой разрывом околоплодной оболочки — предотвратить преждевременные роды до достижения плодом жизнеспособности вне условий матки. Показатель к родоразрешению — определенный порог сурфактанта у плода. Это поверхностно активные тела, выстилающие лёгкие изнутри и препятствующие слипанию лёгочных стенок друг с другом.
У недоношенных детей сурфактант недоразвит, поэтому они не могут дышать сами и находятся под аппаратом вентиляции лёгких. Сурфактант состоит из липида сфингомиелина и жироподобного вещества лецитина. Соотношение лицетина к сфингомиелину 2:1 говорит о способности малыша дышать самостоятельно. Диспропорция между компонентами указывает на возможность респираторного дистресс-синдрома, при котором ребёнок не может самостоятельно дышать.
Прогноз жизнеспособности можно составить по следующим цифрам:
- Л/С 2:1 или более — нормальная зрелость легких. Риски развития респираторного дистресс-синдрома составляют не более 2%;
- Л/С 1,5-1,9:1 -— риск составляет 50 %;
- Л/С 1,5:1 — риск превышает 70-73%.
Как развивается плодное яйцо в норме?
В срок от третьей до восьмой неделе беременности плодное яйцо выглядит как овал или окружность. При пяти или шести неделях беременности в его полости виден пузырёк, образованный желточным мешком, который обеспечивает плодное яйцо питанием. Оно имеет размеры от полутора до двух с половиной сантиметров. Здесь же виден зародыш, который расположен рядом с плодным яйцом и смотрится как полоска длиной около пяти сантиметров. В этом сроке можно во время ультразвукового исследования зафиксировать сердцебиение крохи. Сердечко сокращается с частотой 140 – 225 ударов в минуту. Если плодное яйцо 1 сантиметр, то оно плохо развивается. Проходит процесс дифферинциации клеток, они определяют, какая за какой орган будет отвечать в последующем. У плода в этот период начинает формироваться нервная трубка. К седьмой неделе зародыш открепляется от поверхности плодного яйца и формой напоминает букву С. В плодном яйце уже видна сформировавшаяся пуповина. В этот срок специалист может разглядеть головку, туловище и зачатки конечностей.
Лечение остатков плодного яйца в матке
Медикаментозное лечение
Медикаментозное лечение остатков плодного яйца в матке возможно при условии отсутствия осложнений. Врач может назначить препараты, которые помогают убрать остатки плодного яйца естественным образом. Основным препаратом в этом случае является мизопростол.
Хирургическое лечение
Если медикаментозное лечение не дает положительного эффекта, то прибегают к хирургическому вмешательству. Хирургическое удаление остатков плодного яйца проводится под общим наркозом, и может осуществляться как минимально инвазивным, так и более радикальным методом. Чаще всего используются малотравматичные лапароскопические операции.
Ожидание
В некоторых случаях остатки плодного яйца в матке могут уйти сами по себе. Однако это может занять длительное время, и врачи обычно не рекомендуют ожидать, так как это может привести к развитию осложнений.
Решение вопроса о типе лечения принимается только после комплексного обследования пациента. Исходя из результатов обследования врач выбирает наиболее эффективный метод лечения остатков плодного яйца в конкретной ситуации.
Тактика лечения на ранних сроках
Обнаружение отслойки плодного яйца является основанием для госпитализации беременной. Женщине с угрозой выкидыша необходимо соблюдать полный покой, исключив любые физические нагрузки и интимные контакты. Навредить может даже ходьба – вибрация и напряжение брюшной стенки могут вызывать гипертонус матки, что усугубляет ситуацию. Чтобы избежать осложнений, беременной показан постельный режим. Для улучшения оттока крови из области малого таза рекомендуется подкладывать под ягодицы подушку. Женщине необходимы полноценный сон и спокойная обстановка. Полезно слушать приятную музыку и читать книги.

Спровоцировать ухудшение могут даже нарушения в работе кишечника, поэтому беременной необходимо придерживаться диеты. Исключаются продукты, способные вызвать повышенное газообразование: газированные напитки, бобовые, белокочанная капуста, виноград, грибы, яблоки, молоко. Не рекомендуются крепкие чай и кофе, хурма, шоколад, выпечка (вызывают закрепление стула), а также чернослив, помидоры, дыня и абрикосы (слабят).
Для обеспечения необходимыми питательными веществами, витаминами и минералами необходимо есть много овощей и фруктов (за исключением запрещенных). В рационе должны присутствовать рыба, мясо, зелень, орехи и кисломолочные продукты. Из напитков полезны компоты, морс, отвар шиповника.
Отслоение плодного яйца требует медикаментозного лечения, предусматривающего прием следующих препаратов:
- Утрожестана и Дюфастона. Медикаменты содержат прогестерон – гормон, который отвечает за сохранение беременности. Именно он подавляет сократительную активность матки и не дает отторгнуть плод. Препараты снижают тонус мышечного органа, предупреждая выкидыш.
- Но-шпы, Дротаверина, Папаверина. Обладают спазмолитическим действием, расслабляют маточную мускулатуру.
- Пустырника, валерианы. Применяются в качестве успокоительных средств.
- Дицинона, Викасола. Относятся к гемостатикам – препаратам, которые применяют для остановки кровотечения. Они повышают свертываемость крови и укрепляют сосудистые стенки.
- Витаминов. Необходимы для предупреждения нарушений развития плода.

Как происходит нормальная беременность?
Нормальная беременность – это сложный процесс, который начинается с зачатия и заканчивается рождением ребенка. Когда яйцеклетка оплодотворяется сперматозоидом, она превращается в зиготу, которая начинает делиться и перемещаться по маточной трубе. По пути к матке зигота проходит несколько стадий развития, прежде чем успешно закрепляется в эндометрии.
В течение всей беременности женщина может испытывать различные симптомы, связанные с изменениями в ее организме. Некоторые из этих симптомов включают утреннюю тошноту, усталость, частые мочеиспускания и болезненность грудей. Однако, если беременность протекает без осложнений, то эти симптомы становятся менее заметными во втором и третьем триместрах.
В конце беременности тело готовится к родам, и матка начинает сокращаться, чтобы вытолкнуть плод. После рождения ребенка, происходит послед – вывод из организма матери последнего остатка после отслойки плаценты
Важно помнить, что беременность – это период, когда женщина должна уделить особое внимание своему здоровью и регулярно посещать врача, чтобы убедиться в том, что у нее нет никаких осложнений
Отслойка плаценты: формы
Специалисты выделяют три формы отслойки плаценты у беременных женщин.
Легкая форма – не сопровождается симптомами и обнаруживается в ходе ультразвукового исследования или уже после родовой деятельности.
Средняя – сопровождается кровянистыми выделениями из влагалища и болевыми признаками разной интенсивности. При такой патологии у плода может возникнуть гипоксия, что определяется в ходе прослушивания сердцебиения ребенка.
Тяжелая форма – проявляется резкими и нестерпимыми болями, вплоть до обморочного состояния. Из половых путей наблюдаются обильные кровянистые выделения. Состояние беременной критически ухудшается. Вследствие такой патологии нарушается деятельность сердца у ребенка. Пациентке требуется срочная акушерская помощь.
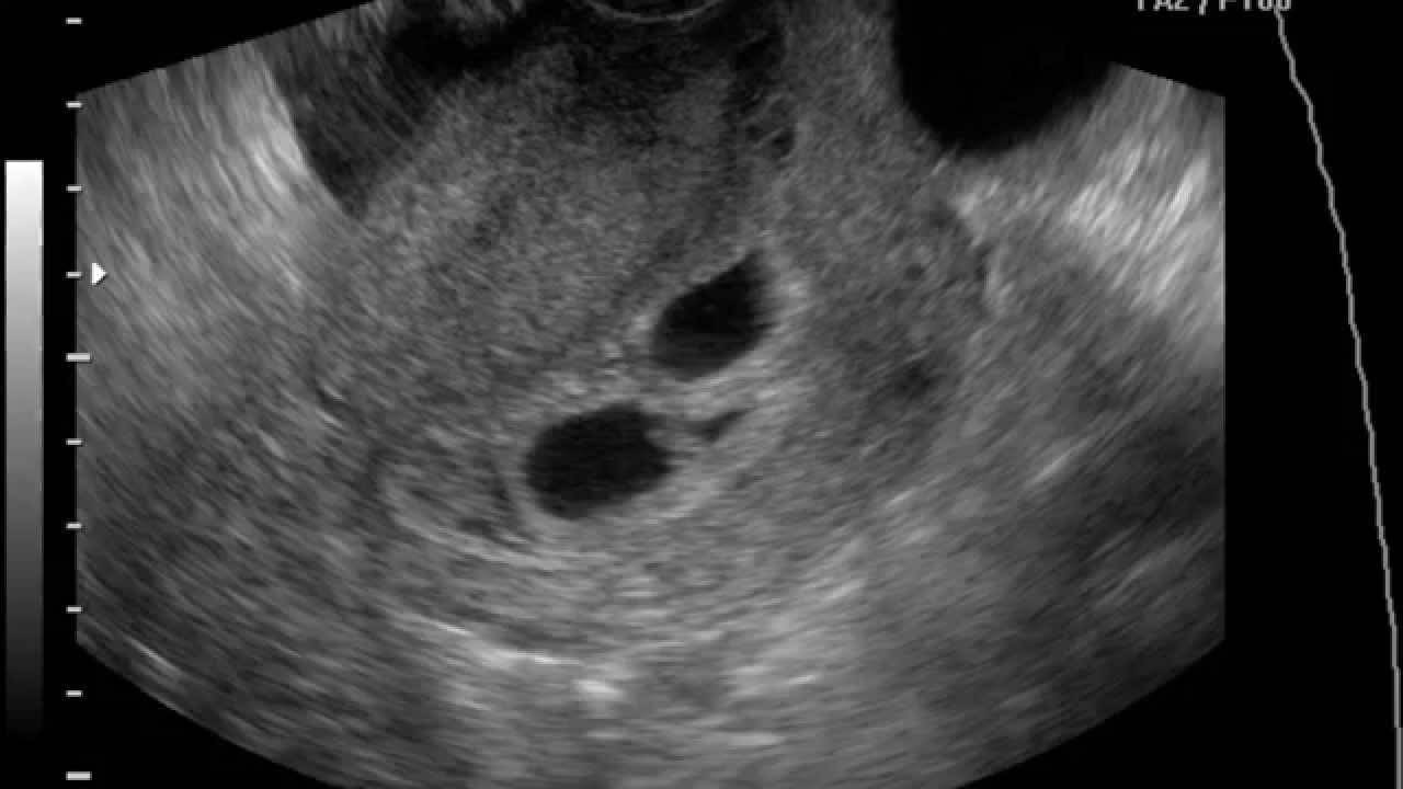
УЗИ отслойки плодного яйца
Ранняя диагностика отслойки плодного яйца может спасти беременность от самопроизвольного аборта, который возникает после полного отторжения маткой. Как мы уже сказали, отслойка плодного яйца возникает на начальных сроках беременности, в тот момент, когда яйцо имплантируется в стенки матки и должно быть максимально надежно прикреплено.
Плановое ультразвуковое исследование, которое женщина проходит в первый период беременности, способно выявить отслойку до первых ее симптомных проявлений. На УЗИ сразу станет понятно наличие у вас этой патологии, а при обнаружения можно точно определить ее вид (частичная или полная). В случае, если УЗИ диагностировало у вас отслойку плодного яйца, вам следует лечь в больницу на сохранение и ежедневно находиться под присмотром врачей, пока опасность выкидыша не станет минимальной.
Диагностика внематочной беременности
Диагностировать внематочную беременность на основании одних только симптомов нельзя, так как они могут указывать и на некоторые другие заболевания. При задержке месячных и отсутствии жалоб на боли и кровотечение врач проведет общее обследование и назначит тест на беременность. При наличии характерных признаков беременности во время осмотра и положительном результате теста вас направят на дополнительное обследование.
Анализ ХГЧ. При задержке месячных и подозрении на беременность на раннем сроке назначается анализ крови на концентрацию хорионического гонадотропина (ХГЧ) — гормона, вырабатываемого плацентой. Концентрация ХГЧ при внематочной беременности повышается меньше, чем при нормальном расположении эмбриона в матке. Пониженная концентрация ХГЧ указывает также на риск выкидыша.
Трансвагинальное УЗИ. Для диагностики внематочной беременности, как правило, назначается трансвагинальное ультразвуковое исследование (УЗИ), при котором с помощью высокочастотных ультразвуковых волн создается изображение репродуктивной системы. Во влагалище вводится небольшой зонд, с помощью которого получают детальное изображение матки и окружающих тканей. Обычно это позволяет определить тип беременности.
Симптомы и признаки
Преждевременная отслойка плаценты имеет следующие симптомы:
- вагинальное кровотечение различной интенсивности (в некоторых случаях может и не быть);
- постоянная или перемежающаяся боль в животе;
- признаки дистресса плода или отсутствие сердцебиения;
- нарушения основных показателей состояния женщины.
Боль острая интенсивная или приступообразная. Иррадиирует в бедро, поясницу, промежность. Пальпаторно акушер-гинеколог чувствует повышенный тонус матки. При первых признаках боли или плохого самочувствия необходимо как можно быстрее обратиться к врачу для проведения диагностики и выявления причины плохого самочувствия.
Сопутствующие симптомы
У некоторых женщин начавшаяся отслойка плодного яйца не сопровождается никакими симптомами. Как правило, это происходит в тех случаях, когда размер гематомы, образовавшейся в месте надрыва, очень мал и не превышает нескольких миллиметров. Часто отслойка дает о себе знать тянущими или схваткообразными болями, отдающими в спину, и кровянистыми выделениями. Цвет их может варьироваться от кремового до ярко-красного. Последние представляют собой опасный симптом, говорящий о начавшемся выкидыше.
Состояние требует незамедлительного оказания медицинской помощи и госпитализации. Неблагоприятным сопутствующим признаком является гипертонус матки. Сократительная способность мышечного слоя органа при этом возрастает, что может привести к самопроизвольному аборту. Снижение базальной температуры тела ниже 37°C также говорит о патологиях: отслойке плодного яйца и угрозе выкидыша, регрессирующей беременности. К косвенным симптомам относят также снижение уровня ХГЧ в крови.
Отслойка плодного яйца: причины и симптоматика
Самостоятельно выявить такого рода нарушения довольно трудно, ведь признаки отслойки плодного яйца становятся заметны только при поражениях большого масштаба и сводятся к:
- Болям спазмолитического характера;
- Кровянистым выделениям.
В противном случае, когда гематома имеет незначительный размер, ее обнаружение будет неожиданностью, ведь беременная женщина чувствует себя при этом нормально
Именно поэтому на любые отклонения следует немедленно обращать внимание, иначе халатность по отношению к состоянию организма может вылиться множественными осложнениями, вплоть до потери ребенка
Довольно часто полная или частичная отслойка плодного яйца может быть вызвана нарушениями артериального давления, слабостью сосудов и прочими особенностями организма, поэтому предугадать возникновение патологии довольно трудно. Важную роль здесь играет режим труда и отдыха, а также особенности питания.
Так, пища будущей матери должна быть сбалансированной и полнорационной, чтобы все необходимые микроэлементы поступали в организм, укрепляли сосуды и предотвратили появление отслойки плодного яйца в будущем. Общих рекомендаций на этот счет специалисты предоставить не могут, ведь каждый организм по-своему уникален и требует индивидуального подхода.
Этапы операции по удалению остатков плодного яйца в матке
Удаление остатков плодного яйца является одним из основных методов лечения послеангиального напряжения в матке. Операция проводится только в стационарных условиях под общим наркозом под наблюдением опытного гинеколога-эндоскописта.
Этап 1. Подготовка пациента к операции. Перед проведением операции необходимо провести обследование пациента и получить согласие на проведение операции. На предварительных этапах пациенту назначают анализы крови, мочи, ЭКГ, УЗИ.
Этап 2. Проведение операции. Операция проводится при помощи эндоскопической аппаратуры, позволяющей удалить остатки плодного яйца через влагалище. Проводится исследование матки, установление точного места размещения остатка плодного яйца, затем он удаляется без последствий для матки и тканей.
Этап 3. Реабилитационный период. После проведения операции пациенту назначают рекомендации по уходу, режиму работы, питанию и физической активности. Реабилитационный период могут затянуться от нескольких дней до нескольких месяцев в зависимости от результата операции.
В целом, операция по удалению остатков плодного яйца в матке являет собой относительно быструю и безболезненную процедуру, обеспечивающую быстрое восстановление после лечения.
Физическая терапия
В рамках терапии ДЛС возможно использоваться следующие устройства:
Костыли с опорой под локоть. Устройства поддержки таза:Пояснично-тазовый бандаж (бандаж должен быть расположен строго краниально по отношению к большому вертелу бедренной кости
В исследовании не рекомендуется использовать пояснично-тазовый бандаж в качестве монотерапии, поскольку стабильность поясничной области должна быть достигнута за счет правильного двигательного контроля и координации)
Рецептурные обезболивающие (прием НПВС во время беременности – с осторожностью). В очень тяжелых случаях – инвалидная коляска
Планирование родов
- Женщинам с ДЛС следует рожать в вертикальном положении со слегка разведенными ногами.
- Величина промежутка между лобковыми костями никогда не должна превышать максимальную, поэтому пациенткам советуют носить специальные ленты на обеих ногах.
- Во время родов не следует упираться ногами в бедра акушерки, ставить подставки для ног, а также использовать хирургические щипцы, поскольку они могут еще больше растянуть связки.
- Во время схваток и родов ноги должны быть минимально разведены.
Профилактика
- Информирование пациентки:
- о ее болезни, а также о связи заболевания с требуемой и допустимой нагрузкой;
- о необходимости отдыха;
- для снижения страха;
- для мотивации пациентки к активному включению в лечебный процесс;
- советы для повседневной жизни (выполнять домашние дела по возможности сидя, спать с подушкой между ног, держать ноги согнутыми, чтобы встать/слезть с кровати).
- Поддержка спины:
- Пациентке следует избегать виды деятельности, создающие чрезмерную нагрузку на таз (приседания, интенсивные тренировки, длительное положение стоя, подъем и ношение тяжестей, перешагивания через вещи, скручивающие движения, уборка с использованием пылесоса и упражнения на растяжку).
- Пояснично-тазовый бандаж в сочетании с информированием более эффективен, нежели выполнение упражнений в сочетании с информированием или только информирование. Женщинам следует снимать бандаж только во время сна.
Аэробные упражнения
- Энергичная ходьба средней интенсивности, которая определяется как 64 — 76% от максимальной частоты сердечных сокращений, либо 3 раза в неделю по 25 минут.
- Упражнения на растяжку следующих мышц: хамстринги, внутренняя и боковая поверхность бедра, квадрицепс и мышцы спины. Выполнять следуем 3 раза в неделю по 2 раза в день. Длительность каждого упражнения – от 10 до 20 секунд.
Укрепляющие упражнения
Пациентки выполняли следующие упражнения: наклон туловища вперед, «кошка», диагональные скручивания, сгибание верхней части тела, подъем ног из коленно-локтевого положения (с параллельным выполнением упражнений Кегеля и контролем наклона таза). Выполняются упражнения 3 раза в неделю (2 подхода по 3-5 повторений на каждую сторону). Длительность каждого упражнения – от 3 до 10 секунд. Упражнения для мышц малого таза . (Упражнения при нестабильности поясничного отдела позвоночника) На ранних сроках беременности: для снижения риска развития дисфункции лонного сочленения: Упражнения для глубоких мышц живота: для увеличения стабильности кора и предотвращения развития болей в области таза или спины у женщин во время беременности
Начинать следует с небольшого числа повторений, плавно увеличивая время мышечного сокращения Особое внимание следует уделить поперечной мышце живота – важной мышце, при сокращении которой происходит синергическая активация тазовой диафрагмы
Упражнения на стабилизацию
- Упражнения помогают лучше включать мышцы тазовой области, благодаря чему улучшается двигательный контроль и стабильность данного региона.
- Прежде всего: сокращение поперечной мышцы живота.
- Специальная тренировка глубоких мышц: к примеру, сокращение поперечной мышцы живота с одновременной активацией многораздельных мышц поясницы в пояснично-крестцовой области.
- Тренировка поверхностных глобальных мышц.
- Упражнения, способствующие улучшению кровоснабжения мышц-ротаторов бедра.
- Много повторений с небольшими усилиями и ограниченной амплитудой движения.
- Положение — лежа на боку с подушкой между ног, либо сидя без опоры для ног.
Другие методы лечения
- Иглоукалывание.
- Чрескожная электронейростимуляция.
- Прикладывание холода.
- Использование тепла.
- Массаж.
Эффективность перечисленных методов пока не доказана. Определенную пользу может принести обращение к хиропрактику, а также беседа с практикующим специалистом в области реабилитации.





































